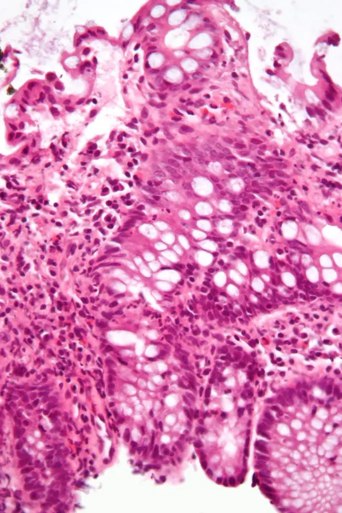
La colite è un gruppo di condizioni infiammatorie ed autoimmuni che colpiscono il colon, ovvero il secondo tratto dell’intestino crasso. Oggi il termine dovrebbe essere limitato alle affezioni specifiche del colon, ma in passato, col nome colite spastica, si indicava una serie più ampia di disturbi.



















