Cosa si intende per formazione ipoecogena o zona ipoecogena? Sicuramente solo pochi di voi riconosceranno il significato di questo termine. Per zona ipoecogena o formazione ipoecogena, si intende quell’area del corpo che, se scansionata con un ecografo, riflette scarsamente il suo segnale.
Questo chiaramente è indice della presenza di un tessuto differente da quello caratteristico della zona circostante, in termini di cellule, in senso numero o in senso composizione differente, meglio identificate come corpi benigni o anche cisti. Queste zone si diversificano di molto rispetto alle sue opposte che sono le formazioni iperecogene che rappresentano invece aree a densità maggiore. Quindi caratterizzate da ammassi cellulari che stanno a indicare la presenza e la nascita di un tumore ben più serio.
Tabella dei contenuti
ToggleFormazione ipoecogena: significato
Il termine area, zona o formazione ipoecogena non viene solamente utilizzato per le ecografie, ma anche per ulteriori esami quali risonanza magnetica e TAC. Si parla di una delimitazione di spazi poco riflettenti rilevabili su tutto il corpo: sui tessuti molli e su quello muscolare è più facile l’identificazione, a differenza delle zone come l’osso. Il concetto non si limita solo alla definizione sopracitata, ma è un argomento ben più vasto che accoglie a se anche lo stato infiammatorio. Come è possibile? Semplice, ad essere rilevato è l’edema, conseguenza di infiammazione in corso più frequente.
Esso è in grado di diminuire la nascita di ulteriori cellule che in tal caso diventano oggetto di infiammazione. Questo perché producono delle leggere variazioni ecografiche, talvolta non rilevabili. Considerando di avere in corso un processo infiammatorio, è possibile vedere attraverso ecografia tutte quelle zone ipoecogenee in modo omogeneo, disomogeneo, in modo più minuzioso o diffuso. La captazione di questo spazio avviene poiché il segnale emesso dall’apparecchiature non è assimilato uniformemente dal sistema, quindi può capitare che oltrepassi il bersaglio.
Cosa succede in questi casi? Il rilevatore non è in grado di visualizzare il segnale in modo da rendere visibile quella zona all’’operatore. Perciò apparirà nera, quasi come se l’ecografo avesse dimenticato di riprodurre quella zona. Capite bene che un’esame del genere ha un buon valore diagnostico poiché, tramite questo esame, è possibile, in modo del tutto non invasivo analizzare molte caratteristiche dell’organo interessato.
Formazione Ipoecogena: le zone
La zona è un’area virtuale e come tale può avere come oggetto di studio qualsiasi parte del nostro corpo. Tuttavia come dicevo, esistono delle zone che riproducono l’ipoecogeno a intensità differente, come i tessuti molli, di cui fanno parte gli epiteli e i muscoli. In queste ultime zone il segnale sarà captato a maggiore intensità e velocità. Ben diversa è la questione delle ossa, conoscete la loro natura, la causa per cui non sono molto reattive al segnale, di conseguenza non si prestano ad una buona valutazione ecografica. Le aree maggiormente soggette a ipoecogenicità sono:
- Fegato
- Seno
- Tendine
- Tiroide
Formazione Ipoecogena Fegato
Il fegato è un organo soggetto sia a ipoecogenicità che a iperecogenicità. La presenza di un nodulo ipoecogeno epatico può essere segno di una patologia benigna che interessi l’area epatica. Questo ovviamente non fa una diagnosi, in quanto per avere più dettagli, si ricorre a ulteriori strumenti e indagini mirate che possono soltanto confermare o ribaltare la teoria dell’ecografia. Nel caso in cui si riconosca una zona ipoecogena epatica, i medici tendono a effettuare anche una risonanza magnetica con mezzo di contrasto perché riesce definire meglio la zona scura. In caso di ulteriori sospetti, la scelta più adeguata è quella di effettuare una biopsia, che consiste nel prelievo di una piccola componente di tessuto, che andrà vista in seguito al microscopio. Si puo parlare quindi di:
- Cisti epatiche: vale a dire raccolte liquide o semi-liquide nel parenchima del fegato. Possono presentarsi semplici o complesse, sempre in base al livello di quantità. Nel caso di cisti semplici, che tra l’altro sono quelle più frequenti, solitamente non si fa ricorso a trattamenti specifici, perche nella maggior parte dei casi sono asintomatici. Questo vale solo nel caso in cui non aumentino di volume, condizione che col tempo può risultare aggravante per la salute, quindi si ricorre all’asportazione chirurgica. Diversa è la situazione nel caso in cui si ha di fronte una patologia ancora più complessa, talvolta a base genetica.
- Adenomi epatici: è un tumore benigno, si pensi correlato ai contraccettivi orali. Si manifesta con noduli abbastanza voluminosi, talvolta presentano aree emorragiche o aree di necrosi, che portano con se sintomatologie quali dolore e collasso vascolare. Quanto si sa sui sintomi è che possono essere assenti o limitati, nei casi più particolari è evidente una massa palpabile. Come quasi tutti i benigni, se non trattati possono aggravarsi a tumori maligni, trattabili tramite resezione chirurgica. Inutile dire che essendo i contraccettivi la causa principale, verranno sospesi immediatamente dopo la diagnosi.
- Lesioni focali benigne del fegato: sono neoformazioni prevalentemente asintomatici e la diagnosi viene effettuata a seguito di numerosi esami di laboratorio. Le uniche complicanze riscontrate, nel caso di stadio grave, sono i danni a livello cardiocircolatorio.
Formazione Ipoecogena seno
Viene chiamato anche con il nome di fibrolipoma o fibromiolipoma o lipoma, anch’esso è una neoformazione benigna del tessuto adiposo della mammella. Viene asportato si solito quando è doloroso o molto grande. Un nodulo ipoecogeno nel seno, anche se di piccole dimensioni, solitamente è ricollegato a fibroadenoma, un altro tipo di tumore benigno. Chiaramente anche in questi fasi è opportuno avere maggiori delucidazioni tramite biopsia. Caratteristica importante è la conformazioni delle aree che possono essere vascolarizzate o no. Nel caso in cui sia presente attività sanguigna si ricorre anche stavolta ad ago aspirato.
Formazione Ipoecogena tiroide
Formazione ipoecogena alla tiroide? Un nodulo tiroideo è una proliferazione di tessuto ghiandolare o una cisti piena di liquido che formano una massa nella tiroide. L’analisi circa l’area ipoecogena tiroidea può assumere diversi significati. La prima cosa che si tende a fare è consigliare la procedura dell’ago aspirato accompagnata da un esame obiettivo sui livelli di ormoni tiroidei. La preoccupazione medica relativa ai noduli è legata alla tendenza cancerosa. Il cancro della tiroide viene riscontrato in circa l’8% dei noduli nei maschi, nel 4% nelle donne. Non è asintomatico come i precedenti, anzi un nodulo di grosse dimensioni può talvolta causare dolore o raucedine e insufficienza respiratoria.
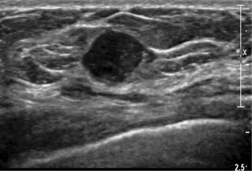
Nodulo ipoecogeno: cos’ è?
Quando il segnale circoscrive una zona ben specifica e focalizzata, quindi caratterizzata da una formazione rotonda, si attribuisce alla zona il nome di nodulo ipoecogeno. Il nodulo in questione avrà importanza rilevante all’interno di questo articolo, perché è tra le manifestazioni cliniche più conosciute. Stando ali ultimi studi, il termine ipoecogeno a quella parte di tessuto che produce una minore densità o che presenta meno brillantezza rispetto al resto. Un nodulo si dice ipoecogeno quando le zone d’ombra al momento della diagnosi ecografica sono sinonimo della presenza di liquido. Tranquilli, non costituisce una patologia cancerosa pericolosa. Dove è possibile ritrovarli? Un nodulo ipoecogeno, come detto in precedenza, lo si può riscontrare in molti organi e tessuti del corpo.
- Mammella
- Tiroide
- Fegato
- Reni
- Utero
- Polmoni
A seconda dell’organo si possono rilevare ulteriori patologie correlate (sempre benigne):
- Tiroidite, o comunque patologie come ipotiroidismo ed ipertiroidismo che provocano ingrandimento della tiroide
- Epatite virale che presenta noduli al fegato
- Pancreatite acuta
- Lipomi in zone diverse
- Linfomi
- Ascessi



















